Coloração Alcian Blue pH 2,5 — Kit Completo para Identificação de Mucinas Ácidas
O Histokit Alcian Blue pH 2,5 entrega coloração histoquímica de alto desempenho para mucinas ácidas com reagentes prontos para uso, protocolo de 45 minutos e mínimo de 60 testes por kit — sem necessidade de preparo, diluição ou equipamentos especiais. Para laboratórios de anatomia patológica que precisam de resultados nítidos, reprodutíveis e rastreáveis na rotina diagnóstica.
✓ Pronto para uso, sem preparo • ✓ Registro ANVISA ativo (IVD) • ✓ Mínimo de 60 testes por kit
Por que a Coloração Especial Alcian Blue é Essencial no Diagnóstico Histopatológico
A coloração especial Alcian Blue é uma das técnicas histoquímicas mais consolidadas para a detecção diferencial de mucinas ácidas em tecidos. Em patologias como adenocarcinomas mucinosos, metaplasia intestinal gástrica e carcinomas de glândulas salivares, a presença e distribuição de mucopolissacarídeos ácidos é um marcador diagnóstico crítico — e a qualidade do corante utilizado impacta diretamente a confiabilidade da interpretação pelo patologista.
Enquanto protocolos convencionais de coloração Alcian Blue exigem preparo manual de soluções, ajuste de pH e validações periódicas, o Histokit Alcian Blue chega ao laboratório com todos os reagentes formulados e estabilizados, eliminando variáveis que comprometem a reprodutibilidade entre lotes e operadores. O resultado é uma Coloração Alcian Blue padronizada a 20°C, com cromogênese consistente em condições normais de laboratório.
Aplicações Clínicas da Coloração Alcian Blue pH 2,5
A técnica de coloração especial com Alcian Blue pH 2,5 é indicada para investigação de patologias em que a alteração quantitativa ou distributiva de mucinas ácidas tem valor diagnóstico estabelecido. Laboratórios de referência em patologia gastrointestinal, mamária e de vias aéreas utilizam esse corante especial rotineiramente nas seguintes situações:
- ✓ Adenocarcinomas e neoplasias mucinosas do trato gastrointestinal
- ✓ Metaplasia intestinal gástrica — rastreamento e gradação
- ✓ Carcinomas mucinosos da mama e outros órgãos
- ✓ Tumores de glândulas salivares com componente mucossecretor
- ✓ Avaliação de mucosas respiratórias e colônicas
Resultados Esperados com o Corante Alcian Blue
A leitura das lâminas processadas com o Histokit Alcian Blue pH 2,5 segue padrão cromogênico definido, facilitando a interpretação objetiva pelo patologista e a comparação entre casos. O protocolo de coloração alcian blue entrega:
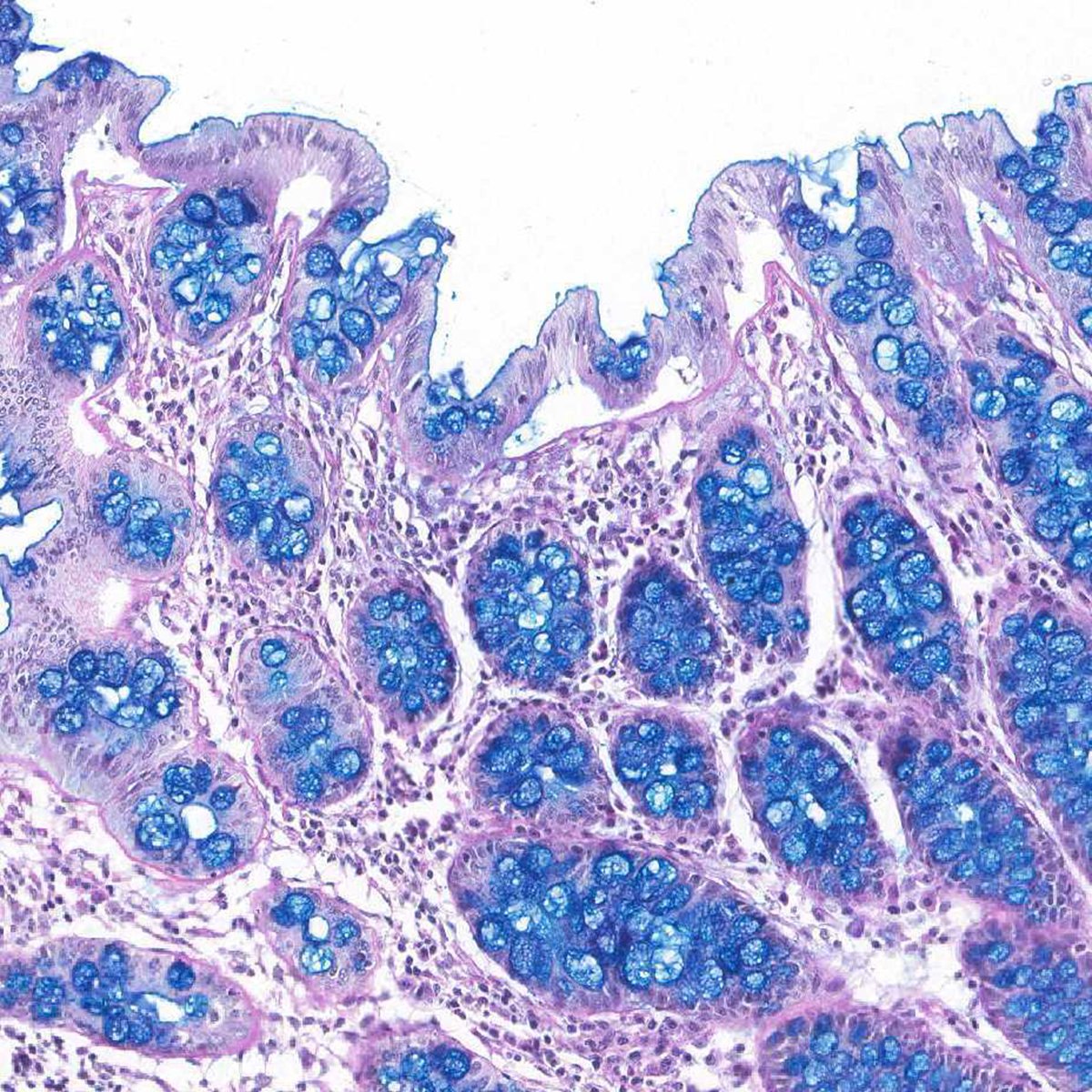
- ✓ Mucopolissacarídeos ácidos — azul turquesa (positivo)
- ✓ Núcleos celulares — roxo (contrastante pela Hematoxilina de Harris)
A nitidez do contraste entre estruturas positivas e negativas é mantida mesmo em cortes com alta densidade celular, favorecendo a análise quantitativa e a documentação fotomicrográfica.
Alcian Blue pH 2,5: Entenda a Importância do pH na Coloração Histoquímica
O pH 2,5 é o parâmetro que define a seletividade diagnóstica da coloração Alcian Blue. Nessa concentração ácida, o corante se liga tanto a mucinas sulfatadas quanto carboxiladas, sendo o protocolo de referência para identificação ampla de mucinas ácidas. Quando combinado à escala de pH (pH 1,0 para mucinas sulfatadas exclusivamente), a técnica permite diferenciar subtipos de metaplasia intestinal — o que tem implicação direta na estratificação de risco em programas de rastreamento de câncer gástrico. O Histokit EasyPath foi formulado e validado exatamente nesse pH, garantindo que o Alcian Blue pH 2,5 esteja estável e dentro do range correto em cada teste.
Especificações Técnicas do Histokit Alcian Blue pH 2,5
| Código | EP-11-20018 |
| Registro ANVISA | 10039300005 (IVD — Diagnóstico In Vitro) |
| Rendimento mínimo | 60 testes por kit |
| Tempo de procedimento | 45 minutos |
| Temperatura de armazenamento | 15 a 25°C (temperatura ambiente) |
| Validade | Conforme indicado no frasco |
| Classificação de transporte | Não perigoso (ADR/RID, IMDG, IATA, ANTT, DOT) |
| Documentação de segurança | FDS conforme ABNT NBR 14725 / GHS-CLP |
O Que Vem com Seu Kit de Coloração Especial
- ✓ Reagente A (tampa azul) — Alcian Blue pH 2,5 — 30 ml
- ✓ Reagente B (tampa vermelha) — Hematoxilina de Harris — 30 ml
- ✓ Ficha de Dados de Segurança (FDS) completa
- ✓ Identificação de lote e data de vencimento para rastreabilidade total
Segurança, Logística e Conformidade Regulatória
O Histokit Alcian Blue é classificado como solução de coloração laboratorial não perigosa para fins de transporte, sem restrições logísticas sob ADR/RID, IMDG, IATA, ANTT e DOT. Isso significa que laboratórios em qualquer estado brasileiro podem solicitar o corante especial sem custos adicionais de frete especial ou documentação restritiva. O produto possui registro ativo ANVISA (IVD) e acompanha FDS elaborada em conformidade com a ABNT NBR 14725 e o sistema GHS/CLP. Para o manuseio, recomenda-se uso de EPI básico: óculos de segurança, luvas e ambiente ventilado.
Perguntas Frequentes sobre a Coloração Alcian Blue
O que é Alcian Blue positivo?
Alcian Blue positivo indica a presença de mucinas ácidas (mucopolissacarídeos ácidos) no tecido analisado, evidenciadas pela coloração azul turquesa característica. O resultado positivo tem relevância diagnóstica em lesões como metaplasia intestinal, adenocarcinomas mucinosos e carcinomas de glândulas salivares, auxiliando na classificação e gradação das alterações tecidurais.
Para que serve a coloração Alcian Blue?
A coloração Alcian Blue serve para identificar e localizar mucinas ácidas em cortes histológicos. É amplamente utilizada no diagnóstico de patologias gastrintestinais, mamárias, respiratórias e de glândulas salivares, onde a presença ou ausência de mucopolissacarídeos ácidos tem valor diagnóstico e prognóstico estabelecido pela literatura histopatológica.
O que é o Alcian Blue pH 2,5?
O Alcian Blue pH 2,5 é a formulação padrão do corante para identificação de mucinas ácidas sulfatadas e carboxiladas. O pH 2,5 define a seletividade da reação: nessa condição, o corante catiônico se liga a ambos os subtipos de mucinas ácidas, tornando-o o protocolo de referência para detecção ampla em rotina diagnóstica. Formulações em pH 1,0 são usadas quando se deseja identificar exclusivamente mucinas sulfatadas.
O kit Histokit Alcian Blue exige equipamentos especiais?
Não. O Histokit EP-11-20018 foi desenvolvido para ser compatível com a rotina de qualquer laboratório de histologia. Os reagentes chegam prontos para uso, sem necessidade de preparo, diluição ou equipamentos específicos além do processamento histológico convencional. O protocolo é executado em 45 minutos a 20°C em condições normais de laboratório.
Quantos testes posso realizar com um kit?
Cada kit Histokit Alcian Blue pH 2,5 (EP-11-20018) rende no mínimo 60 testes, considerando uso conforme protocolo recomendado. O rendimento real pode variar de acordo com o volume utilizado por lâmina e as práticas do laboratório, mas o mínimo garantido de 60 testes assegura previsibilidade no planejamento de insumos e custo por exame.
Invista em Coloração Especial que Garante Diagnóstico Confiável
Laboratórios que processam casos de rotina e casos complexos precisam de insumos que não gerem retrabalho. O Histokit Alcian Blue pH 2,5 foi desenvolvido pela EasyPath para eliminar as variáveis mais comuns que comprometem a qualidade da coloração especial: instabilidade de reagentes, imprecisão de pH e falta de rastreabilidade. Com registro ANVISA ativo, pronta entrega e transporte sem restrições para todo o Brasil, é o corante especial que seu laboratório pode pedir hoje e aplicar amanhã. Solicite uma proposta para o seu volume mensal e garanta o padrão de qualidade EasyPath na sua bancada.
EasyPath – Precisão que o diagnóstico exige, praticidade que a rotina demanda.














Avaliações dos clientes
Não há avaliações ainda para este produto